整形外科
整形外科は運動器の疾患を扱う診療科です。
運動器とは、身体運動に関わる骨、筋肉、関節、神経などの総称です。
運動器はそれぞれが連携して働いており、どのひとつが悪くても身体はうまく動きません。
また、複数の運動器が同時に障害を受けることもあります。
身体の芯になる骨・関節などの骨格系とそれを取り囲む筋肉やそれらを支配する神経系からなる「運動器」の機能的改善を重要視して治療する外科で、背骨と骨盤というからだの土台骨と、四肢を主な治療対象にしています。
整形外科の手術にはさまざまな種類があります。例えば、次のような手術があります。脊髄・脊椎に対する手術・神経の手術・腱の手術・骨の手術(骨接合術など)関節の手術(人工関節置換術など)等々があり、中でも以下は当院での件数が多い手術となります。
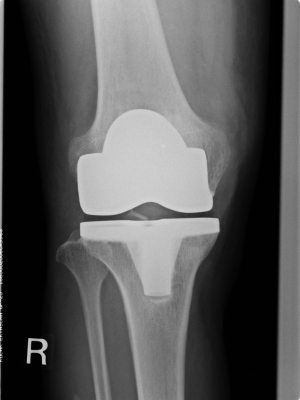
人工関節置換術
変形性関節症、関節リウマチ、その他の疾患により関節破壊を生じた疼痛のある関節に対して人工関節に置き換える手術です。疼痛が取り除かれる効果が高い手術です。
これまでは60歳以上の比較的高齢者の方の手術とされて来ましたが近年では患者さんの運動機能改善でQOL(クオリティ- オブ-ライフ)の向上が得られるなら40歳代にも適応があります。また、80歳代の患者様にも関節痛がなく元気に歩きたい方には行われます。
当院では人工関節(人工膝関節置換術、人工股関節置換術)を年間100例以上行われており、グランドゴルフや散歩など関節痛なく楽しく過ごしたくて手術を行なった80歳以上の患者様も多くいらっしゃいます。
経皮的椎体形成術(BKP)
BKPとはBalloon Kyphoplastyの略でバルーン後弯矯正術という意味です。一般的には経皮的後弯矯正術や経皮的椎体形成術と言われています。
脊椎圧迫骨折の治療
脊椎圧迫骨折は高齢の骨粗鬆症がある方が転倒、重量物を持つ等の軽微な外傷で起こることが多いです。骨折のため激しい痛みを伴い、寝返り、立位動作での強い疼痛を訴えます。初期治療は安静にし、ギプス、コルセットにて加療します。一般的には骨が圧潰して固まっていく過程で疼痛が軽減していきます。しかし一部に骨が固まらずに不安定な状態が続き、骨癒合しないため椎体内でグラグラと動く骨になり、過剰に動くために痛みを伴う病態になることがあります。脊椎圧迫骨折全体の10~20%がこのような状態になると言われています。
不安定な椎体が痛みだけでなく、神経を圧迫して下肢麻痺症状を呈する場合は神経の圧迫を解除するために金属での固定、神経圧迫部の除圧術が必要になることがあります。
しかし、不安定な骨で痛みのみで場合、低侵襲の手術であるBKPが適応となります。
手術について
BKPは不安定になったグラグラに動く椎体内に専用の骨セメント(メチルメタクリレート)を充填して不安定性を軽減し、疼痛をとる治療です。当該椎体の背部に5㎜程度の切開をして、椎体内に金属製の中空の針を挿入し、そこから挿入したバルーン(風船)を膨らませ、椎体高を改善させ、その部位に骨セメント(メチルメタクリレート)を充填します。手術は30分から1時間で終了します。
術後経過について
翌日からコルセットつけて歩行開始します。一般的に疼痛の改善は術後すぐに分かり、翌日立位時には疼痛改善していると訴える方がほとんどです。創部も小さく一般的な脊椎の手術と異なり、術後の創部痛の訴えもほとんどありません。
骨粗鬆症の治療
BKPは効果の高い良い手術ですが、もともと骨折の起きた骨の弱い状態を改善する訳ではありません。また椎体内に固い骨セメントが入るため隣接椎体の骨折が起こることもあります。早期除痛と低侵襲手術という点で良い治療ですが、この病態が起きる原因となる骨粗鬆症治療も重要な治療の柱になります。当院でBKPを行う場合は並行して骨粗鬆症治療を行って頂くことになります。
費用は高額療養費の対象になります。
健康保険や国民健康保険加入者が、同じ月内に同じ医療機関に支払う医療費の自己負担額(食事の費用・自費分は除く)が高額になった場合は、限度額の認定証の交付を受け、入院事務担当者にご提示いただくと、病院窓口での自己負担額が限度額までの金額となります。(70歳未満の方が対象で、健康保険組合や国保窓口に事前に申請が必要です。)詳しくは入院案内もしくは当院医事室にお問い合わせください。
手術の模式図
- 術前
- 術後
透視下で椎体内にワイヤーをさし、それをガイドに中空の筒を入れ、椎体内の良好な位置でバルーンを膨らませて拡張します。そのまま骨セメントを作り、ある程度硬くなったところでバルーンを抜去し、骨セメントを入れて終了です。
術前CT画像では第1腰椎椎体内に空隙があります。この部位が前後屈で動くために痛みを伴います。術後CT画像では同部位に骨セメントが隙間なく充填されこの部位の動きがなくなった状態といえます。
手術フロー









〒324-0036 栃木県大田原市下石上1453番地